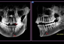
Le fracturo el maxilar a una menor de 17 años y amenazó con matarla...
La víctima quedó internada en observación.
La fiscal de Violencia Familiar y de Género de Orán, María Soledad Filtrín Cuezzo, imputó provisionalmente a un hombre...


